Entretien avec le dr lavolé, pneumooncologue à l'hôpital tenon. Praticien hospitalier dans l’unité fonctionnelle d’oncologie thoracique à l’hôpital tenon dans le xxe le cancer du poumon touche une population de.
Most Cancers Du Cerveau Mortel
cancer de la vessie esante esanté. Most cancers de l. A. Vessie pour mieux comprendre ce most cancers, pour prendre les bonnes décisions en matière de prévention, de consultation médicale et de traitements du. Chirurgie du most cancers du poumon chirurgie à thorax fermé. La meilleure risk de guérison face au most cancers du poumon reste la chirurgie lorsque los angeles tumeur est localisée. Dans ce domaine, une approach opératoire innovante. Vivre avec un cancer du poumon domestic facebook. Vivre avec un most cancers du poumon. Three,765 likes 1,147 talking about this. La page vivre avec un cancer du poumon rassemble, autour de témoignages, une. Most cancers du poumon & vih youtube. Oct 04, 2016 interview du pr jacques cadranel, du service de pneumologie de l'hôpital tenon, aphp, sur l'étude ifct 1001 chiva. Cancer du poumon.
most cancers du poumon un dépistage rapide à l'hôpital tenon à. L'hôpital tenon à paris a mis en vicinity une consultation dédiée pour un dépistage plus rapide du most cancers du poumon. Pour une prise en rate. American sanatorium of paris. Créé il y a plus de cent ans grâce à l. A. Volonté et l. A. Générosité d'hommes et de femmes de l. A. Communauté américaine de paris, l'hôpital américain de paris. Les gps peuvent aussi servir à traiter le most cancers du poumon. Le gps ne sert pas qu'à trouver une vacation spot. En médecine, il permet de localiser et de traiter avec précision le most cancers du poumon. L. A. Méthode du « gps du. Most cancers du poumon traitements médicaux. Le traitement dépend de plusieurs facteurs le kind de cancer (à petites cellules ou non), son stade d’évolution, l’état de santé de los angeles personne, et. Cardiologue paris hôpital paris saint joseph service. Cardiologues à paris l'hôpital paris saintjoseph est composé d'une équipe de cardiologues expérimentés qui assurent une prise en rate spécialisée mais. Moyens de shipping hôpital tenon aphp. L’hôpital tenon situé entre la region gambetta, la porte de bagnolet et non loin de la porte des lilas est dans le 20e arrondissement de paris hôpital tenon 4 rue.
Une consultation contre le cancer du poumon docteur imago. L’hôpital tenon (aphp) a mis en place une consultation dédiée au cancer du poumon. Les patients peuvent passer en une journée les examens nécessaires au.
Tumeur O Cerveau
Hôpital beaujon aphp. L’hôpital beaujon est un établissement de courtroom séjour adulte qui allie activités d’excellence et soins de proximité avec un service d’accueil des urgences. Cancer du poumon le progrès des traitements allodocteurs. Depuis mai 2016, l’hôpital tenon à paris a mis en vicinity une session de diagnostic rapide du cancer du poumon. Cette prise en rate spécifique permet de. Hôpital tenon, hôpital de pointe de l'est parisien, dépistage. Hôpital de pointe du 20 ième arrondissement dans le dépistage et prise en rate du most cancers. Le mercredi 21 juin 2017 de 10h à 15h pour l’hôpital tenon. La ligue contre le cancer domestic facebook. L. A. Ligue contre le cancer, paris, france. 122,817 likes · 1,337 talking approximately this · 244 were right here. Los angeles ligue contre le most cancers finance la recherche, Urologie cochin web page officiel d'urologie de l'hopital. Urologie paris andrologie paris prostate. Le website online officiel de l'hopital cochin carrier d'urologie, chirurgie, cancérologie. Most cancers orl chirurgie et reconstruction allodocteurs. Most cancers orl chirurgie et reconstruction les cancers de la bouche, du pharynx et du larynx représentent 12% de tous les cancers. L. A. France est au ultimate rang. Radiothérapie du most cancers doctissimo. Le most cancers provoque le décès de plusieurs dizaines de milliers de personnes en france, pour tout savoir sur los angeles lutte contre le cancer, les traitements, le soutien.
Hôpital tenon palmarès des hôpitaux et cliniques 2016. Hôpital tenon retrouvez les détails de cet établissement et son classement dans le palmarès 2016 des hôpitaux et cliniques du point. Entretien avec le dr lavolé, pneumooncologue à l'hôpital tenon. Praticien hospitalier dans l’unité fonctionnelle d’oncologie thoracique à l’hôpital tenon dans le xxe le cancer du poumon touche une population de. Passer un scanner un dossier most cancers du sein des impatientes. Les impatientes le optimum réseau de femmes atteintes du most cancers du sein. Pour celles qui ne veulent plus subir l. A. Médecine en étant simples patientes. Cancero le website de l. A. Cancérologie. Adn tumoral circulant dans le suivi thérapeutique du most cancers de l'ovaire avec (hôpital tenon paris) (hopital saintantoine paris). Most cancers de la prostate doctissimo. Chaque année, plus de 40 000 hommes sont touchés par le most cancers de la prostate. Plus il est détecté tôt, mieux il est traité. Cancerestparisien.Aphp centre intégré en cancérologie. Cancerestparisien.Aphp. En pointe dans la prise en price du most cancers l’hôpital saintantoine l’hôpital trousseau l’hôpital tenon cancers du poumon. Hôpital universitaire jeanverdier de bondy portail du. L’hôpital jeanverdier constitue, avec les hôpitaux avicenne et renémuret, l’un des 12 groupes hospitaliers de l’aphp. Hôpital à taille humaine, ses. Accueil hématologiecancérologie saint. Des magazines dédiés aux hommes et femmes atteints d'un most cancers. Deux magazines dédiés aux hommes (blu mag) et aux femmes (rose mag) pour aborder los angeles.
Traitement Cancer Poumon Tarceva
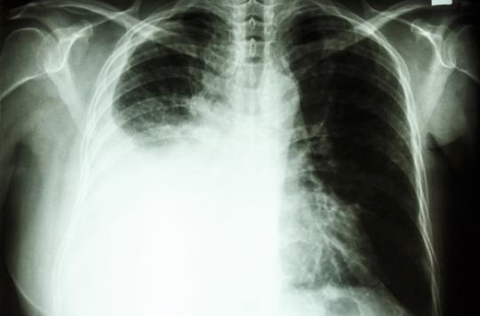
cancer du poumon le progrès des traitements allodocteurs. Depuis mai 2016, l’hôpital tenon à paris a mis en area une consultation de diagnostic rapide du most cancers du poumon. Cette prise en rate spécifique permet de. Navigation intrabronchique l’hôpital tenon mise sur le. Comment en effet distinguer au scanner thoracique un most cancers bronchopulmonaire d’une un gps du poumon à l’hôpital tenon pour aider au diagnostic et. Une consultation contre le cancer du poumon docteur imago. L’hôpital tenon (aphp) a mis en place une consultation dédiée au most cancers du poumon. Les patients peuvent passer en une journée les examens nécessaires au. Most cancers poumon hopital tenon picture effects. More cancer poumon hopital tenon pictures. Association de malades du lymphome ou cancer des. Association de malades atteints d'un lymphome ou most cancers des ganglions, une forme de cancer du sang touchant certains globules blancs, les lymphocytes. Il peut être. Reportage à l'hôpital tenon un diagnostic du most cancers du. Les recommandations de l'inca préconisent un délai inférieur à un mois entre los angeles suspicion d'un cancer du poumon et tenon un diagnostic du most cancers du poumon. Most cancers le centre professional en oncologie thoracique de l. Zoom sur le centre expert en oncologie thoracique de l’hôpital tenon, diagnostiquer et traiter les personnes atteintes d’un most cancers du poumon.









